Hành trình tìm lại nụ cười của những người từng "mất niềm tin" vào nha khoa
Theo thống kê, khoảng 15% bệnh nhân tìm đến giải pháp Implant là để khắc phục hậu quả của các phương pháp phục hình cũ thất bại hoặc biến chứng từ Implant giá rẻ. Với nhóm “khách hàng đặc biệt” này, thứ họ cần không chỉ là một chiếc răng mới, mà là sự “chữa lành” về mặt niềm tin sau những lần điều trị dang dở.
Ba lần đến, hai lần quay về vì... sợ
Chiều muộn một ngày tháng 10, cô Trần Thị Thanh (58 tuổi, Quận 3, TP.HCM) đứng ngập ngừng trước cửa Nha khoa Đông Nam gần 15 phút nhưng chưa dám bước vào. Trên tay cô là tập hồ sơ bệnh án đã quăn mép. Đây là lần thứ ba cô đến đây, nhưng hai lần trước nỗi sợ hãi đã chiến thắng, khiến cô quay xe ra về.
"Năm năm trước, nghe lời giới thiệu làm cầu răng sứ cho nhanh và rẻ. Lúc đầu thì đẹp thật, nhưng giờ hai răng trụ bên cạnh bị lung lay, nướu thì viêm đỏ. Đau đớn là một chuyện, nhưng cái cảm giác mình bị lừa, bị bỏ rơi khi xảy ra chuyện mới là thứ ám ảnh nhất," cô Thanh trải lòng.
Với những người như cô Thanh, nỗi đau thể xác đôi khi dễ chịu đựng hơn nỗi sợ tâm lý. Hình ảnh chiếc ghế nha khoa, tiếng máy khoan, mùi thuốc sát trùng... tất cả đều gợi lại ký ức về những lần điều trị thất bại.
"Mỗi lần đánh răng thấy máu chảy là tôi run. Ngại đi khám lắm, sợ bác sĩ la sao để tệ thế này, rồi lại vẽ thêm tiền mà không biết có kết quả gì không," cô Thanh chia sẻ thêm, ánh mắt vẫn còn sự e ngại. Đó là tâm lý điển hình của sự thiếu tự tin và mất niềm tin vào y đức, rào cản lớn nhất khiến họ chần chừ điều trị, để tình trạng ngày càng nghiêm trọng hơn.

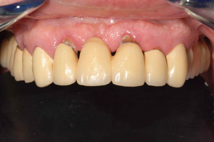
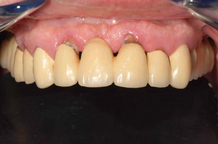
Răng bị tiêu xương và có dấu hiệu viêm nhiễm
Khi bác sĩ không chỉ điều trị mà còn chữa lành vết thương tâm lý
Tiếp nhận ca của cô Thanh, Bác sĩ Đặng Quốc Dũng - Trưởng khoa Implant với hơn 20 năm kinh nghiệm tại Nha khoa Đông Nam không vội vàng đưa bệnh nhân lên ghế điều trị. Thay vào đó, ông dành gần 30 phút chỉ để... nói chuyện.
“Điều trị cho những ca ’sửa sai' khó gấp đôi, gấp ba ca mới,” bác sĩ Dũng nhận định. "Khó một phần ở kỹ thuật xử lý nền xương đã tiêu biến, nhưng khó mười phần ở việc xây dựng lại niềm tin đã vỡ vụn của bệnh nhân."
Tại Nha khoa Đông Nam, quy trình tiếp nhận những ca đặc biệt này luôn bắt đầu bằng sự lắng nghe và thấu cảm. Các bác sĩ tuyệt đối không phán xét đồng nghiệp cũ hay trách móc bệnh nhân vì đã chọn sai phương pháp. Mọi sự tập trung đều dồn vào giải pháp hiện tại: làm sao để cứu vãn tình thế một cách an toàn và bền vững nhất.
"Bệnh nhân họ sợ là đúng. Trách nhiệm của mình không phải là thuyết phục bằng lời hay ý đẹp, mà phải chứng minh bằng kế hoạch minh bạch, rõ ràng từng bước. Sửa sai là cơ hội cuối cùng để chúng tôi giữ lại niềm tin của họ đối với ngành nha" bác sĩ Dũng nhấn mạnh.
Đối với trường hợp cô Thanh, sau khi chụp phim CT Cone Beam kiểm tra kỹ lưỡng, bác sĩ Dũng tư vấn kế hoạch: tháo bỏ cầu răng sứ hỏng, điều trị viêm nướu triệt để, sau đó cấy ghép 3 trụ Implant độc lập. Mọi chi phí trồng răng, thời gian lành thương và cả những rủi ro có thể gặp phải đều được thông báo chi tiết ngay từ đầu. Không có sự mập mờ, không có "chi phí ẩn".
Ngày nụ cười được tìm thấy trở lại
Ngày điều trị diễn ra nhẹ nhàng hơn cô Thanh tưởng tượng rất nhiều. Nhờ sự hỗ trợ của thuốc tê và thao tác chuẩn xác của bác sĩ Dũng, ca cấy ghép chỉ kéo dài hơn 1 giờ đồng hồ.

Việc điều trị chỉ diễn ra khi bệnh nhân thực sự đặt trọn niềm tin
"Bác sĩ làm nhẹ lắm, cứ động viên tôi suốt. Lúc làm xong, bác sĩ còn đưa gương cho xem và dặn dò kỹ về nhà ăn uống sao cho đỡ đau. Cảm giác được quan tâm thật sự chứ không phải làm cho xong việc," cô Thanh kể lại.
Sáu tháng sau, ngày gắn mão sứ hoàn thiện, nụ cười của cô Thanh đã khác hẳn. Không còn nụ cười gượng gạo, che miệng vì tự ti. Cô cười lớn, thoải mái khoe hàm răng đều đặn khi đi thăm bạn bè cũ.
"Hôm qua tôi ăn thử miếng táo giòn, cắn cái rộp mà không sợ răng bay ra ngoài như trước nữa. Cảm giác đó... sướng lắm!" cô Thanh cười, ánh mắt rạng rỡ.
Nhưng giá trị lớn nhất mà cô nhận được không chỉ là khả năng ăn nhai ngon miệng, mà là sự yên bình. "Giờ tối ngủ ngon giấc, không còn nằm mơ thấy răng rụng, không còn lo âu mỗi sáng thức dậy. Tôi tìm lại được niềm tin rằng vẫn có những bác sĩ có tâm, coi mình như người nhà."

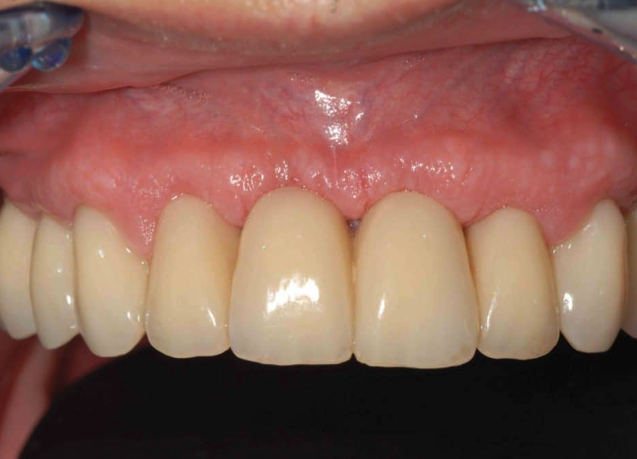
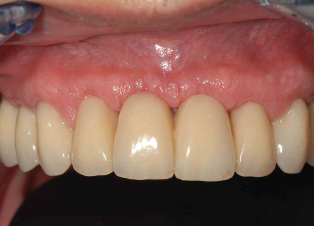
Hàm răng mới giúp bệnh nhân cải thiện chất lượng cuộc sống
Mất răng là một mất mát lớn về cơ thể, nhưng mất niềm tin mới là sự mất mát đau đớn nhất về tinh thần. Hành trình tìm lại nụ cười của những người từng thất bại trong điều trị nha khoa không hề dễ dàng, nhưng nó hoàn toàn có thể thực hiện được nếu tìm đúng người đồng hành tin cậy.
Sự kiên nhẫn, minh bạch và cái tâm của người thầy thuốc chính là liều thuốc duy nhất để chữa lành những “vết thương lòng”, giúp bệnh nhân khép lại quá khứ và mở ra một tương lai sống vui, sống khỏe.
Nha Khoa Đông Nam - Chuyên sâu cấy ghép Implant và phục hình sứ
Với đội ngũ bác sĩ chuyên môn cao, trang thiết bị công nghệ hiện đại, quy trình điều trị chuẩn Bộ Y tế, Nha Khoa Đông Nam cam kết đồng hành cùng khách hàng trong hành trình lấy lại khả năng ăn nhai và nụ cười của mình.
Cơ Sở 1: 411 Nguyễn Kiệm - Phường Đức Nhuận - TPHCM
Cơ Sở 2: 614 Lê Hồng Phong - Phường Vườn Lài - TPHCM
Hotline: 0972 411 411 - 1900 7141
Zalo/Viber: (+84) 972 411 411
Website: https://nhakhoadongnam.com/





Bình luận
Xin vui lòng gõ tiếng Việt có dấu